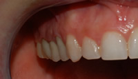
DISILICATO DI LITIO

Disilicato di litio

Disilicato di litio

Ips e Max è un nuovo sistema di ceramica integrale innovativo con il quale si possono realizzare strutture pressate per la ceramica integrale. Ips e max comprende materiali altamente estetici e resistenti sia per la tecnologia Press che Cad-Cam.
Il colore traslucente è la cementazione con tecnica adesiva consente di ottenere risultati estetici notevoli.


Disilicato di litioDisilicato di litio Disilicato di litioDisilicato di litioDisilicato di litio

Specializzazioni

Protesi Mobile

OVERDENTURE

PROTESI TOTALE

Contatti

LABORATORIO

VIA RATTAZZI, 4/B

50136 FIRENZE, ITALIA

Tel. (+39) 055 661513

© Copyright Stefano La Scala Laboratorio Odontotecnico Firenze all rights reserved - P.I. 04269700482 - [privacy policy]